How the Final 5% Perfects Your Invisalign Results

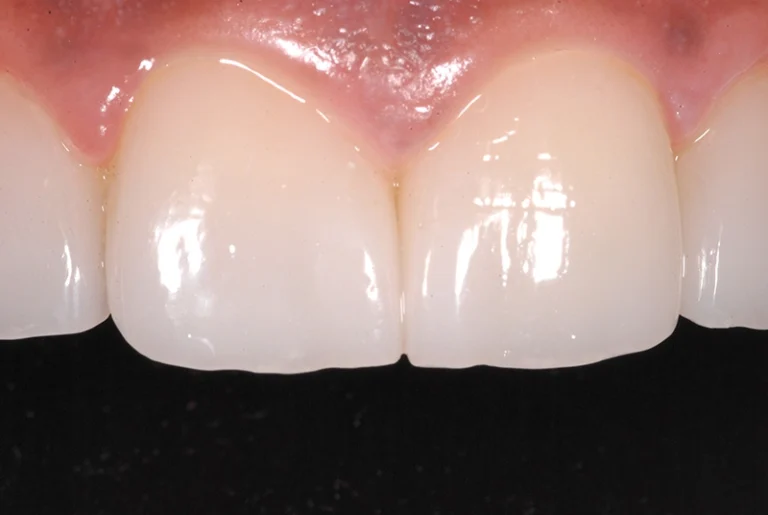
Close-up of front teeth showing final smile detailing and alignment after Invisalign treatment

It’s About Precision, Not Just Straight Teeth

Undergoing any orthodontic treatment is a big investment – not only financially, but also in terms of the time and dedication required to wear the aligners throughout your treatment. At the end of treatment it is important that you are happy with the final result achieved. For teenagers this often is just a case of getting the teeth in the right position – but for adults there are a number of other factors that can determine whether ultimately you are happy with your smile or not.

In this post I thought it would be worth talking about the final touches that you might need to consider at the end of treatment to help get you the final result you imagined when you first started the process. As it is sometimes hard to anticipate form the outset what finishing touches will be needed, it is important that you discuss if there will be any extra fees to do these if necessary. I have always taken the view that my patients are seeing me not because they want to wear aligners but because they want the beautiful smile – so for that reason I have always included whitening and bonding as part of the treatment fee however every Invisalign provider is different in terms of what they include as part of their fee structure. 

Whitening

Although whitening is extremely common today, there are always a number of factors to consider when recommending a whitening treatment (or treatments). 

Tea, coffee, smoking and wine stains are quite straightforward to breakdown however there are a number of other factors that determine tooth shade as well. Sometimes an individual can have naturally darker teeth, some have fluorosis marks which can make the teeth look patchy or mottled, and some individuals might have a history of trauma or decay that has meant that one tooth is darker than the others. All of these factors needs to be considered at the start of treatment and planned for.

The patient below was unhappy not only with the general shade of his teeth but also the fact, that as the result of a hockey injury, one of his front teeth was significantly darker than the others. For this client we asked him to undertake a period of three weeks home whitening followed by specific internal whitening of the darkened front tooth. 

Bonding

Your teeth constantly wear away as you go through life, however often if the teeth are crowded certain teeth can either be worn down more than usual or sometimes can be worn down or chipped on odd angles. While this is not always immediately obvious while the teeth are still crowded, as soon as the teeth are aligned correctly these imperfections can become glaringly obvious detract from the final smile. 

One solution is to use bonding to repair the chipped and worn teeth. With bonding we replace the missing enamel with white filling material and blend it in with the natural tooth shades. The advantage with this approach is that it is completely non-invasive – there is no drilling or anesthetic required.  

The photos are below are of a patient I treated with Invisalign. The photo on the left shows his smile at the completion of his Invisalign treatment. The teeth were technically straight, but you can see the front teeth are overly worn and uneven in appearance. The photo on the right shows his smile once I had completed his bonding. 

Veneers

There are times when we know from the outset that the shape or size of the teeth is such that the smile is never going to be right no matter how “straight” the teeth technically are. While bonding can mask a lot of issues, there are times when a veneer (or veneers) will get a more predictable and long lasting result for more complex situations. 

A veneer is a ultra thin porcelain sleeve that is fitted to the front surface of the tooth and allows us to disguise the size, shape and/or colour of the underlying tooth. Traditionally, to create the space required to fit a veneer, we will often need to reduce the enamel layer on the front surface of the tooth – however when doing veneers as part of orthodontic treatment it is often possible to position the teeth to drastically reduce the amount of enamel removed.

The advantage with veneers is that we have complete control over the size, shape and colour of the tooth. With good hygiene and maintenance they are also very durable – often lasting 10-12years or more. The downside is that regardless of the amount of enamel removed it is generally considered an irreversible procedure and it can add significantly to the fees associated with getting you that perfect smile. Wherever possible I always try and work with what nature provided you in the first place – but occasionally I will place a veneer if the patient and I agree it will give the best final result.

Hannah (below) was unhappy both with the position and shape of her four front teeth. Correcting the position had been easy enough with Invisalign however we knew from the outset that we would need to consider veneers to change the shape of the front teeth when we were done. In addition, Hannah was adamant that she wanted the final result to look as natural as possible – even choosing a slightly darker tooth shade as part of the process! By controlling the position of the front teeth during Invisalign treatment it meant that we only had to remove a tiny amount of enamel at the gum margin to fit the veneers. This made the whole process significantly less invasive.

Leave a Reply

Your email address will not be published. Required fields are marked *